Claussenomyces sp. 2016.08.05

Cechy makroskopowe
Brak danych
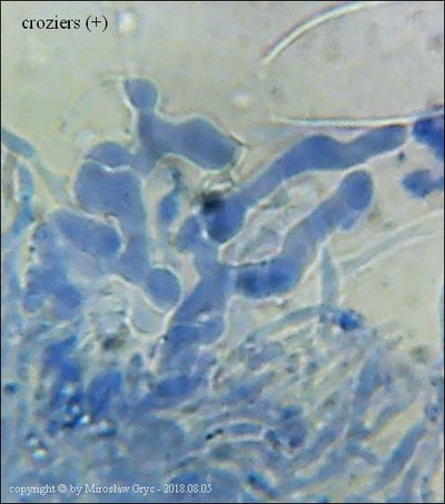
Cechy mikroskopowe
Brak danych
Występowanie
Brak danych
Uwagi
Jak dotąd w literaturze mykologicznej nie widnieje gatunek którego cechy byłyby zbieżne z cechami tej kolekcji. Kolekcja wymaga dalszych badań.Zarodniki:
(13.5) 14.2 - 19.3 (24.4) × (2.6) 3.1 - 3.7 (4.1) µm
Q = (3.5) 4.6 - 6 (6.8) ; N = 17
Me = 17 × 3.3 µm ; Qe = 5.2
19.88 3.68
18.67 3.09
24.36 3.58
14.22 4.07
17.81 3.12
17.96 3.83
16.37 3.01
13.46 2.65
14.57 3.12
16.19 3.33
16.36 3.21
16.49 3.21
13.50 3.17
19.33 3.17
14.63 3.06
17.71 3.08
17.01 3.69
Galeria zdjęć
Data: 2016.08.05
Lokalizacja: Śródpolne zadrzewienie na S od Ogrodniczek, gm. Supraśl.
Substrat: Owocniki na butwiejącym pniaku, niewiadomego pochodzenia.
Lokalizacja: Śródpolne zadrzewienie na S od Ogrodniczek, gm. Supraśl.
Substrat: Owocniki na butwiejącym pniaku, niewiadomego pochodzenia.













