Tremella giraffa Chee J. Chen

Cechy makroskopowe
Brak danych
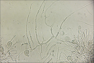
Cechy mikroskopowe
Brak danych
Występowanie
Brak danych
Uwagi
Galeria zdjęć
Data: 2017.12.25
Lokalizacja: Puszcza Knyszyńska, Czołnowo.
Substrat: Owocniki we łzawnikach porastających obumierającą jabłoń, rosnącą na skraju zadrzewienia.
Numer wątku na Bio-forum: 33/9699.1.7. Mikroskopował Błażej Gierczyk.
Publikacja:
Błażej Gierczyk, Mirosław Gryc (2024).
Materiały do poznania grzybów podstawkowych Puszczy Knyszyńskiej i jej przedpola.
Przegląd Przyrodniczy XXXV, 2 (2024): 3-65
Lokalizacja: Puszcza Knyszyńska, Czołnowo.
Substrat: Owocniki we łzawnikach porastających obumierającą jabłoń, rosnącą na skraju zadrzewienia.
Numer wątku na Bio-forum: 33/9699.1.7. Mikroskopował Błażej Gierczyk.
Publikacja:
Błażej Gierczyk, Mirosław Gryc (2024).
Materiały do poznania grzybów podstawkowych Puszczy Knyszyńskiej i jej przedpola.
Przegląd Przyrodniczy XXXV, 2 (2024): 3-65





