| Diatrype subaffixa | (Schwein.) Cooke, | Grevillea 12(no. 61): 5 (1883) |
| ... | ![]() |

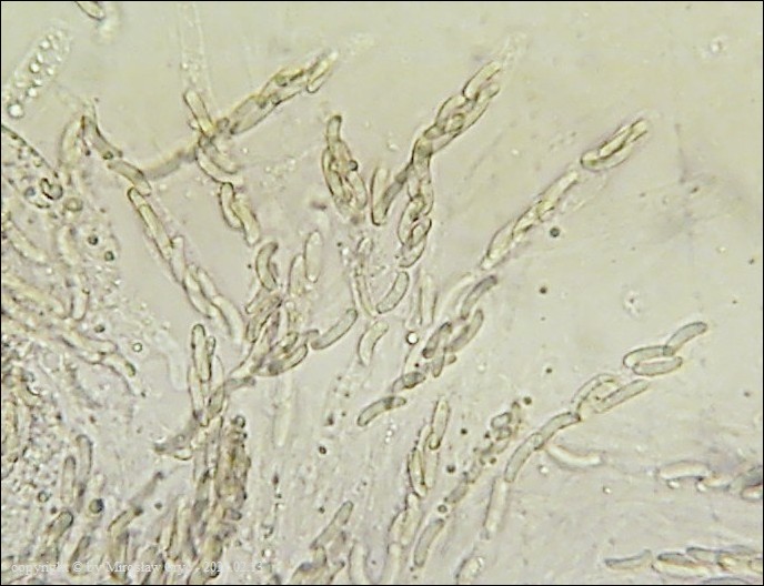
Do czasu aż powstanie jakieś konkretne opracowanie tego rodzaju jest to jedyny gatunek którego cechy są zbieżne z cechami mojej kolekcji, pomimo to oznaczam je jako "cf".
Pierwszymi mykologami którzy na poważnie podeszli do tematu i postanowili opracować gatunki podobne do D. stigma a występujące w Środkowej Europie byli Andrzej Chlebicki oraz Jolanta Krzyżanowska. Efektem ich pracy była publikacja z 1994 roku: "Notes on Pyrenomycetes and Coelomycetes from Poland 3. Diatrype subaffixa, a new species for Europe".
Posiłkując się tą pracą oraz następną Andrzeja Chlebickiego z 2005 roku, "Some species of the genus Diatrype from the Czech Republic preserved in PRM, BRNM and KRAM" można brać pod uwagę dwa gatunki które występują na grabie pospolitym: D. subaffixa var. rappazii oraz D. subaffixa dla których podaje podobne wymiary zarodników, pasujące do mojej kolekcji.
Jednak w 2004 roku, w zasadzie równolegle do drugiej cytowanej publikacji A. Chlebickiego, Larissa N. Vasilyeva oraz Steven L. Stephenson prezentują wyniki swoich badań nad tym rodzajem w pracy: "Pyrenomycetes of the Great Smoky Mountains National Park. I. Diatrype Fr. (Diatrypaceae)".
L. Vasilyeva w niej, nieco inaczej podchodzi do D. subaffixa var. rappazii, uznając tę formę za synonim nowo utworzonego gatunku D. rappazii.
Wobec takiego podejścia do tematu, do wyboru pozostaje mi w zaszdzie jedynie D. subaffixa, tym bardziej, że L. Vasilyeva w ostatniej pracy już nie określa dokładnie substratu, natomiast dla D. rappazii którego zarodniki są nieco krótsze, jako podłoże podaje Acer sp.
Temat bardzo ciekawy wymagający dalszych badań. Ze względu na duży zasób substratu grabowego w rewirze moich poszukiwań, mam nadzieję, że znajdę czas aby kontynuować obserwacje?
Diatrype cf. subaffixa
DATA OSTATNIEJ MODYFIKACJI: 08.01.2025
LICZBA ODWIEDZIN STRONY: 232
DATA UTWORZENIA STRONY: 19.02.2020