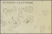
| Eutypella scoparia | (Schwein.) Ellis & Everh., | N. Amer. Pyren. (Newfield): 495 (1892) |
| = Peroneutypa scoparia |
| ... | ![]() |

2022.03.18
DATA OSTATNIEJ MODYFIKACJI: 09.01.2025
LICZBA ODWIEDZIN STRONY: 269
DATA UTWORZENIA STRONY: 19.03.2022