Grzyby Puszczy Knyszyńskiej i okolic.
| Helicogonium jacksonii |
W.L. White, |
Canadian Journal of Research, Section C 20: 390 (1942) |
| ... |
 | |
Fungi » Ascomycota » Pezizomycotina » Leotiomycetes » Leotiomycetidae » Phacidiales » Helicogoniaceae
Uwagi
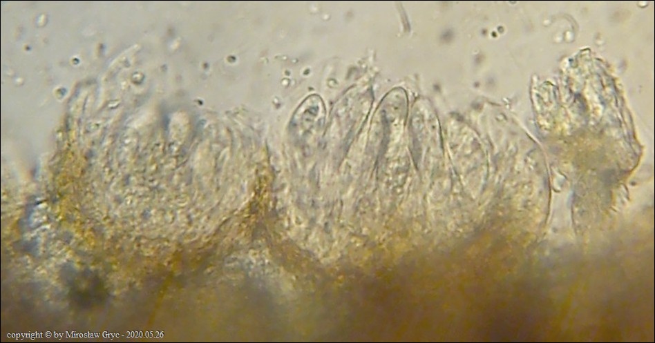
Owocników nie wytwarza. Pasożytuje wewnątrz innych grzybów.
Zarodniki:
7.4 [7.8 ; 8.9] 9.3 × 2.3 [2.5 ; 2.9] 3.1 µm
Q = 2.4 [2.7 ; 3.5] 3.8 ; N = 3 ; C = 95%
Me = 8.4 × 2.7 µm ; Qe = 3.1
8.82 x 2.59
8.19 x 2.61
8.08 x 2.89

2020.05.26
Skraj Puszczy Knyszyńskiej, Pólko.
Owocniki pasożytujące wewnątrz hymenium starego okazu przedstawiciela
(Meruliaceae) rosnącego na wierzbie.
-------------------------------------------------------------------------------------------------
DATA OSTATNIEJ MODYFIKACJI: 09.01.2025
LICZBA ODWIEDZIN STRONY:
819
DATA UTWORZENIA STRONY: 03.03.2019