Grzyby Puszczy Knyszyńskiej i okolic.
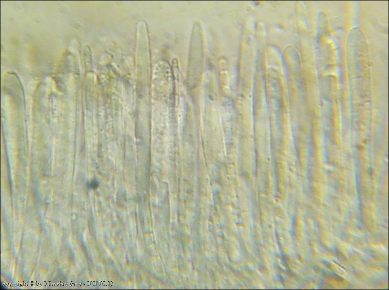
Lasiobelonium populi nom. prov. Baral
...
Fungi » Ascomycota » Pezizomycotina » Leotiomycetes » Leotiomycetidae » Helotiales » Hyaloscyphaceae
Uwagi
Kolekcja prezentowana na tej stronie jest pierwszą zarejestrowaną na drewnie brzozy (Betula sp.). Do tej pory uważano, że gatunek ten jest sciśle związany z topolą (Populus sp.).
2020.02.02
Puszcza Knyszyńska, okolice Czołnowa.
Owocniki na drewnie martwej brzozy (Betula sp) leżącej na ziemi.
---------------------------------------------------------------------------------------------------------



KONTAKT: E-MAIL

DATA OSTATNIEJ MODYFIKACJI: 27.11.2025

LICZBA ODWIEDZIN STRONY: 756

DATA UTWORZENIA STRONY: 16.02.2020