Grzyby Puszczy Knyszyńskiej i okolic.
| Sirobasidium brefeldianum |
Möller, |
Bot. Mitt. Trop. 8: 165 (1895) |
| ... |
 | |
Fungi » Basidiomycota » Agaricomycotina » Tremellomycetes » Incertae sedis » Tremellales » Sirobasidiaceae
SYNONIMY:
Sirobasidium brefeldianum Möller, Bot. Mitt. Trop. 8: 165 (1895) f. brefeldianum
Sirobasidium brefeldianum f. microsporum Maire, Bull. Soc. Hist. nat. Afr. N. 36(3): 38 (1945)
Sirobasidium intermediae Kund. & M.S. Patil, Indian Phytopath. 39(3): 357 (1987) [1986]
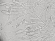
Uwagi
Umieściłem poniższe kolekcje w tym gatunku ponieważ jak do tej pory nic bardziej podobnego do tego gatunku nie opisano(?).
Bardzo duże wątpliwości budzi w przypadku dwóch pierwszych kolekcji iglasty substrat: kilka kolekcji na cienkich, martwych gałązkach świerka oraz jedna na martwej gałązce jałowca.
Trzecia prezentowana kolekcja pochodzi z substratu liściastego. Podobieństwo mikroskopowe jest bardzo duże. W zasadzie budowa identyczna. Okazy wymagają dalszych badań.
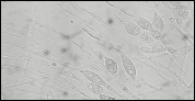
Sirobasidium cf. brefeldianum
Ze względu na iglasty substrat oznaczenie wydaje się być niepewne. Gatunek ten bowiem jak do tej pory był notowany wybitnie z liściastego.
2018.10.19
Lasy iglaste na E od Ogrodniczek.
Owocniki na gałązkach świerka.
Mikroskopował Błażej Gierczyk.
Numer wątku na Bio-forum:
33/888730.
Stanowisko ujęte w pracy zespołowej:
Grzyby Puszczy Knyszyńskiej - Anna Kujawa, Błażej Gierczyk, Mirosław Gryc, Marek Wołkowycki - 2019 rok.
-------------------------------------------------------------------------------------

2019.12.15
Puszcza Knyszyńska, okolice Czołnowa.
Owocniki na leżacych na kupie gałęziach lipy (Tilia sp.).
Publikacja:
Błażej Gierczyk, Mirosław Gryc (2024).
Materiały do poznania grzybów podstawkowych Puszczy Knyszyńskiej i jej przedpola.
Przegląd Przyrodniczy XXXV, 2 (2024): 3-65
-------------------------------------------------------------------------------------

2019.12.26
Lasy na E od Ogrodniczek, okolice Komosy.
Owocniki na gałęziach lipy (Tilia sp.).
Publikacja:
Błażej Gierczyk, Mirosław Gryc (2024).
Materiały do poznania grzybów podstawkowych Puszczy Knyszyńskiej i jej przedpola.
Przegląd Przyrodniczy XXXV, 2 (2024): 3-65
-------------------------------------------------------------------------------------
DATA OSTATNIEJ MODYFIKACJI: 09.01.2025
LICZBA ODWIEDZIN STRONY:
752
DATA UTWORZENIA STRONY: 03.12.2018